نبذة عني

السلام عليكم

انا رجب حاصل على بكالريوس في علوم البيانات والذكاء الصناعي.

قمت بعمل مشاريع كتيرة في تنظيف وتحليل البيانات والمعالجة اللغوية ومعالجة الصور.

من اهم المشاريع التي قمت بها :

-عمل API للترجمة من اللغة الانجليزية للعامية المصرية.

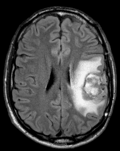
- اكتشاف سرطان الثدي وسرطان المخ عن طريق صور MRI and X-ray.

- اكتشاف مرض الزهايمر عن طريق المخطط الكهربي للدماغ (EEG).

- عمل سيارة روبوت يمكن التحكم بها عن بعض.

- عمل chat bot مبني باستخدام الذكاء الصناعي والمعالجة اللغوية (NLP) يقوم بتلقي طلبات زبائن المطاعم.

ساكون سعيد بخدمتك

التقييمات

الاحترافية بالتعامل
 5.0
التواصل والمتابعة
 5.0
جودة العمل المسلّم
 5.0
الخبرة بمجال المشروع
 5.0
التسليم فى الموعد
 5.0
التعامل معه مرّة أخرى
 5.0

آراء العملاء

إحصائيات

التقييمات  (1)
إكمال المشاريع
التسليم بالموعد
إعادة التوظيف
نجاح التواصلات
متوسط سرعة الرد 7 ساعات و 12 دقيقة
المشاريع المكتملة 1
تاريخ التسجيل
آخر تواجد منذ

توثيقات

البريد الإلكتروني رقم الجوال
الهوية الشخصية

أوسمة

  • مستخدم منذ سنة