تفاصيل العمل

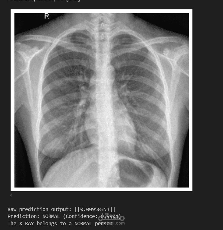
يهدف هذا المشروع إلى تطوير نموذج دقيق لاكتشاف الالتهاب الرئوي من صور الأشعة السينية (X-ray) باستخدام تقنيات التعلم العميق. تم استخدام نموذج EfficientNetB0 كنموذج أساسي، حيث أظهر أداءً ممتازًا وحقق دقة بلغت 99% على مجموعة البيانات المستخدمة. كما تم أيضًا استخدام نموذج VGG19 كجزء من عملية المقارنة والتجريب بهدف تعزيز الأداء وتحليل النتائج.

تضمن المشروع المراحل التالية:

معالجة البيانات وتنظيفها.

تطبيع الصور وتحجيمها لتناسب النموذج.

استخدام نموذج EfficientNetB0 المُدرَّب مسبقًا وتحسينه باستخدام تقنية Transfer Learning.

تجربة نموذج VGG19 وتحليل نتائجه.

تقييم أداء النماذج باستخدام مؤشرات مثل الدقة (Accuracy)، الحساسية (Recall)، والتخصص (Specificity).

عرض نتائج التنبؤ بصريًا من خلال مصفوفة الالتباس (Confusion Matrix) ومخططات أخرى.

هذا المشروع يُظهر فعالية النماذج الحديثة مثل EfficientNetB0 و VGG19 في الكشف المبكر عن الالتهاب الرئوي، مما يعزز من فرص التشخيص السريع والدقيق في المجال الطبي.

بطاقة العمل

اسم المستقل
عدد الإعجابات
0
عدد المشاهدات
36
تاريخ الإضافة
المهارات