الرئيسية
المستقلين
Saja M.
معرض الأعمال
اطلب عمل مماثل
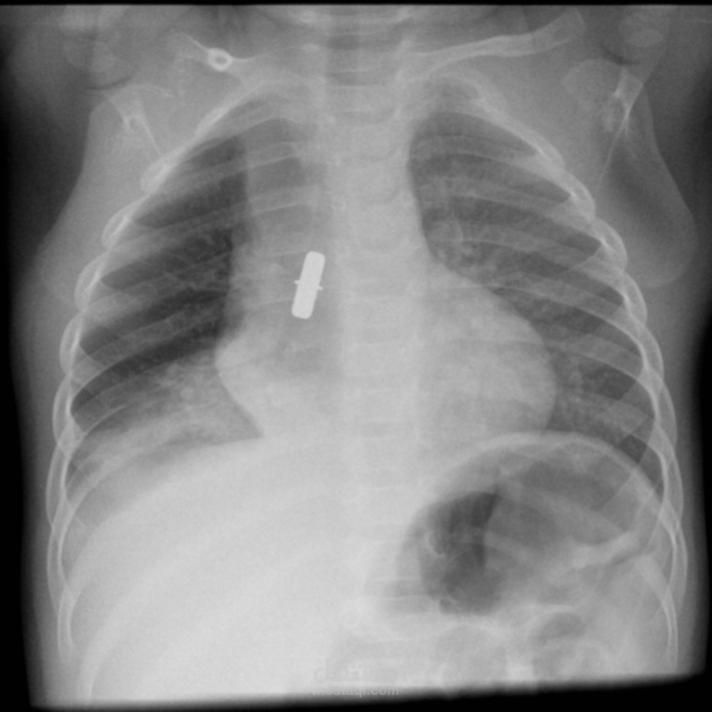
Foreign Body
تفاصيل العمل
يشرح العمل عن Foreign Body ويوضح كيفية جمع المعلومات والتشخيص والعلاج لتلك الحالة
ملفات مرفقة
PPTX
Foreign-Body.pptx
(1.83MB)
بطاقة العمل
اسم المستقل
Saja M.
عدد الإعجابات
0
عدد المشاهدات
41
تاريخ الإضافة
21/01/2022
×