تفاصيل العمل

وصف مشروع Brain Tumor Classification

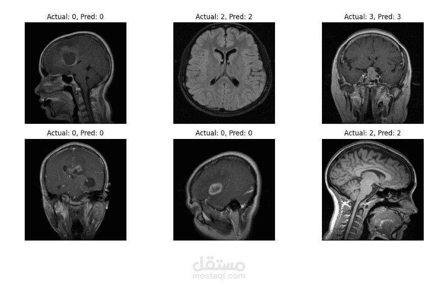
مشروع Brain Tumor Classification هو نظام ذكي يعتمد على تقنيات الذكاء الاصطناعي والتعلم العميق (Deep Learning) لتحليل صور الأشعة الطبية، خاصة صور الرنين المغناطيسي (MRI)، بهدف اكتشاف وتصنيف أورام الدماغ بدقة وسرعة. يساعد هذا النظام الأطباء في التشخيص المبكر واتخاذ قرارات علاجية أكثر دقة.

يقوم النموذج بتحليل صور الدماغ واكتشاف الأنماط غير الطبيعية التي تشير إلى وجود ورم، ثم تصنيف نوع الورم اعتمادًا على خصائصه البصرية.

فكرة عمل المشروع

يتم تدريب النموذج باستخدام مجموعة من صور MRI المصنفة مسبقًا، مما يسمح له بتعلم الفروقات بين الأنسجة الطبيعية وأنواع الأورام المختلفة.

أنواع الأورام التي يمكن تصنيفها

الورم الدبقي (Glioma)

الورم السحائي (Meningioma)

ورم الغدة النخامية (Pituitary Tumor)

دماغ طبيعي (No Tumor)

آلية عمل النظام

إدخال صورة الأشعة (MRI)

تحميل صورة الدماغ للتحليل.

المعالجة المسبقة

تحسين جودة الصورة، إزالة الضوضاء، وتوحيد الأبعاد.

استخراج الخصائص

تحليل الأنماط والأنسجة داخل الصورة.

تصنيف الورم

استخدام نموذج CNN لتحديد نوع الورم.

عرض النتيجة

إظهار نوع الورم ونسبة الثقة في التنبؤ.

التقنيات المستخدمة

Python

Convolutional Neural Networks (CNN)

TensorFlow أو PyTorch

OpenCV

NumPy & Matplotlib

مميزات النظام

يساعد في الكشف المبكر عن أورام الدماغ

دقة عالية في التصنيف

تقليل الخطأ البشري في التشخيص

سرعة تحليل الصور الطبية

دعم الأطباء في اتخاذ القرار

استخدامات المشروع

مساعدة الأطباء في التشخيص الطبي.

دعم أنظمة الرعاية الصحية الذكية.

تحسين دقة وسرعة تحليل الأشعة.

استخدامه كأداة تعليمية لطلاب الطب.

أهمية المشروع

يمثل هذا المشروع تطبيقًا مهمًا للذكاء الاصطناعي في المجال الطبي، حيث يمكن أن يساهم في إنقاذ الأرواح من خلال الكشف المبكر عن الأورام وتحسين جودة الرعاية الصحية.

بطاقة العمل

اسم المستقل
عدد الإعجابات
0
عدد المشاهدات
6
تاريخ الإضافة
تاريخ الإنجاز
المهارات