تفاصيل العمل

From Data to Diagnosis: Building a Brain Tumor Classifier with Deep Learning

During my final year in college, I had the opportunity to dive deep into one of the most impactful applications of AI in healthcare: Brain Tumor Classification from MRI Scans.

This project wasn’t just about building a model — it was about transforming complex medical imaging data into actionable insights that can support faster and more reliable diagnosis.

What this project does

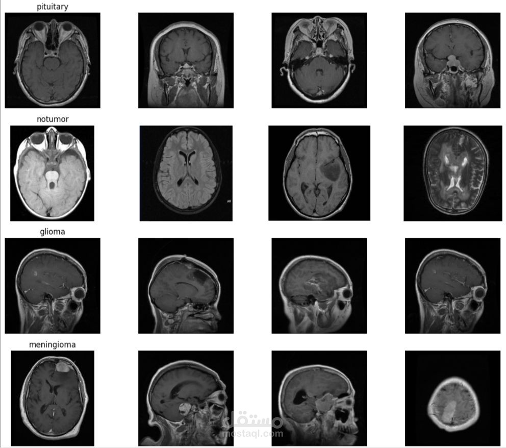
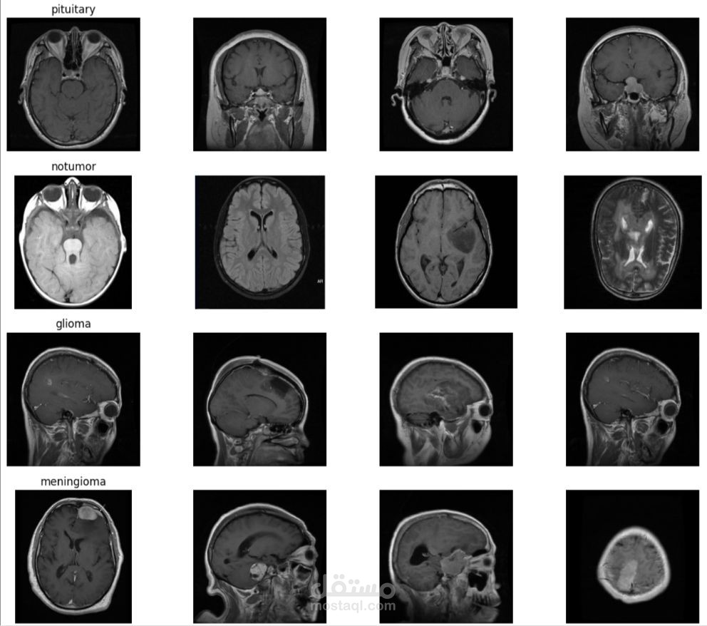
Using MRI scans as input, my model can predict whether a brain tumor is present. This can help radiologists and doctors save time and focus on the critical decision-making process.

️ How I built it (step by step)

Data Preparation: Preprocessed MRI images (resizing, normalization, augmentation) to improve model generalization.

Deep Learning Model (PyTorch): Designed a Convolutional Neural Network (CNN) with Conv2D, MaxPooling, Dropout, and Fully Connected layers.

Training: Used Adam optimizer with cross-entropy loss, along with learning rate scheduling and early stopping.

Evaluation: Measured accuracy, precision, recall, and F1-score, and created a confusion matrix for better insights.

Results: Achieved high performance and demonstrated the potential of AI in medical imaging.

بطاقة العمل

اسم المستقل
عدد الإعجابات
0
عدد المشاهدات
9
تاريخ الإضافة
تاريخ الإنجاز
المهارات