تفاصيل العمل

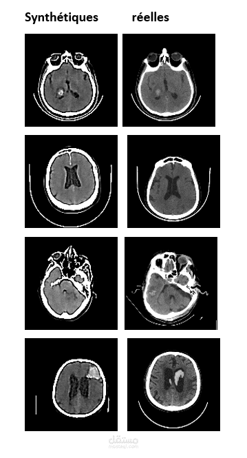
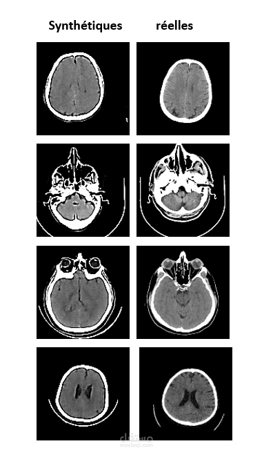
تطوير نموذج cVAE لتوليد صور أشعة مقطعية صناعية للسكتة الدماغية. الهدف هو موازنة البيانات وتحسين أداء نماذج التصنيف الطبية.

بطاقة العمل

اسم المستقل
عدد الإعجابات
0
عدد المشاهدات
2
تاريخ الإضافة