تفاصيل العمل

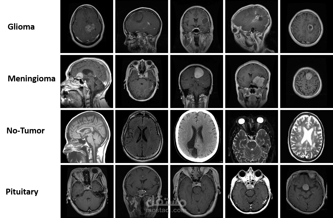
يهدف هذا المشروع إلى تطوير نموذج ذكاء اصطناعي يعتمد على الشبكات العصبية التلافيفية (CNN) و التعلم المنقَّل (Transfer Learning) لتصنيف صور الأشعة الدماغية (MRI) إلى فئات مختلفة مثل الأورام الحميدة، الأورام الخبيثة، أو الأنسجة السليمة.

مراحل المشروع:

إعداد البيانات ️: تحسين جودة الصور وتقسيمها للتدريب والاختبار.

بناء النموذج ️: استخدام CNN أو نماذج مثل ResNet50، VGG16.

تدريب النموذج ️️: باستخدام TensorFlow/Keras وضبط Hyperparameters.

تقييم النموذج : باستخدام Accuracy, Precision, Recall, F1-score.

نشر النموذج : عبر Flask أو Streamlit لتوفير واجهة تفاعلية.

الأدوات المستخدمة:

Python | TensorFlow / Keras | OpenCV | Flask / Streamlit

المخرجات: نموذج دقيق لتصنيف الأشعة مع تقارير تحليلية وإمكانية نشره لاستخدامه في التشخيص الطبي.

ملفات مرفقة

بطاقة العمل

اسم المستقل
عدد الإعجابات
0
عدد المشاهدات
15
تاريخ الإضافة
تاريخ الإنجاز
المهارات