Brain Tumor Classification Using Deep Learning (VGG16 Model)

تفاصيل العمل

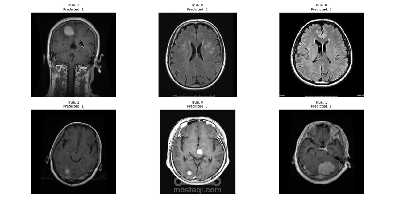
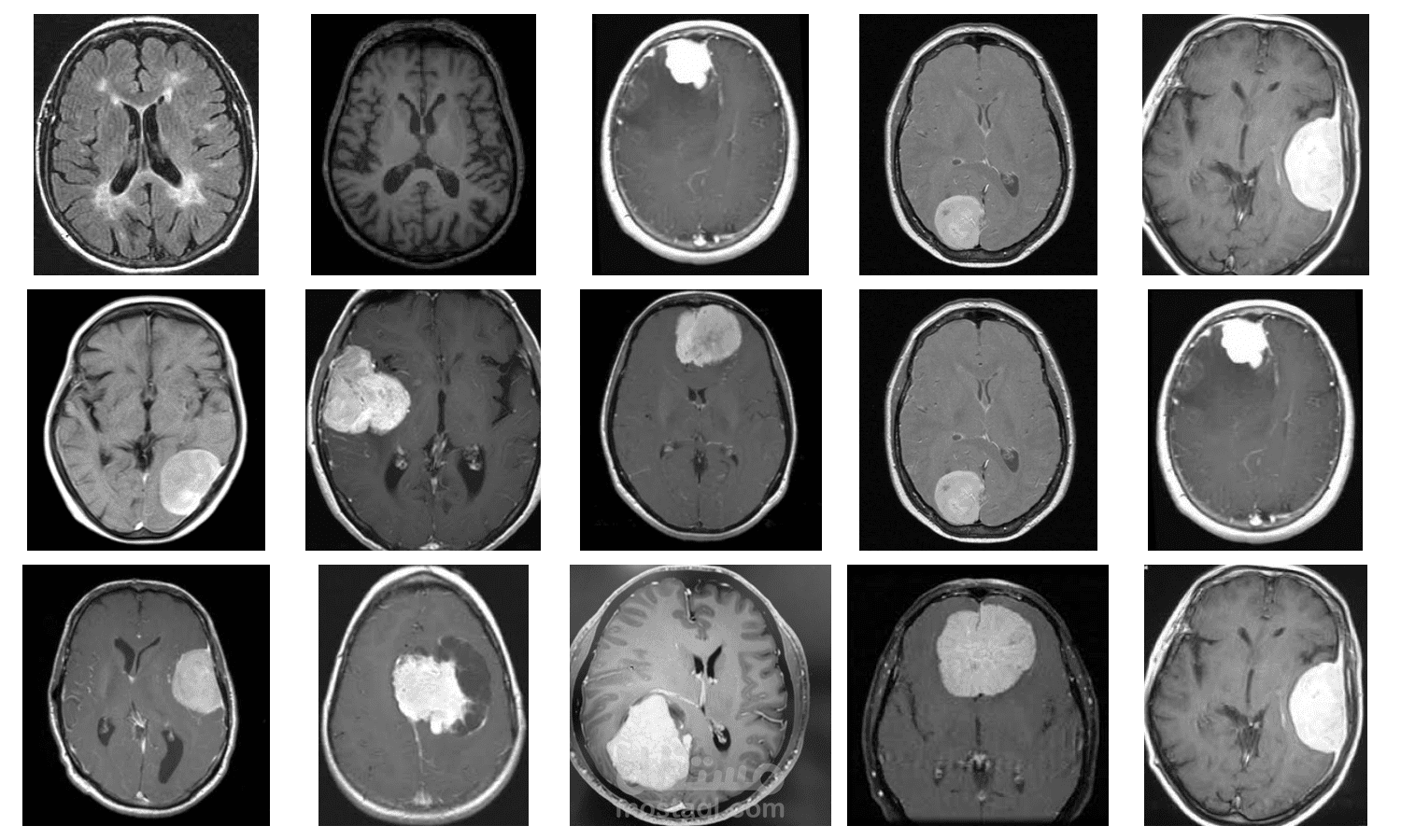
المشروع يهدف إلى تطوير نظام ذكي لتصنيف أورام الدماغ باستخدام تقنيات التعلم العميق، مع التركيز على نموذج VGG16 الذي يُعد من أبرز النماذج الفعالة في هذا المجال. يسعى المشروع إلى تمكين الأطباء والباحثين من تحليل الصور الطبية بدقة وكفاءة.

المزايا الرئيسية للمشروع:

- الاعتماد على تقنيات متقدمة: استخدام نموذج VGG16 المعروف بأدائه المتميز في تحليل الصور.

- دقة عالية في التصنيف: توفير نتائج دقيقة لدعم القرارات الطبية.

- قابلية التطبيق العملي: إمكانية استخدام النظام في المستشفيات والمؤسسات البحثية بشكل واسع.

يهدف هذا المشروع إلى تعزيز المجال الطبي من خلال أتمتة وتحسين عمليات التشخيص، مما يساهم في تسريع الإجراءات الطبية وإنقاذ الأرواح. أرحب بمناقشة أي تفاصيل إضافية أو تخصيص النظام وفقاً لمتطلبات معينة.

بطاقة العمل

اسم المستقل
عدد الإعجابات
0
عدد المشاهدات
28
تاريخ الإضافة
تاريخ الإنجاز
المهارات