تفاصيل العمل

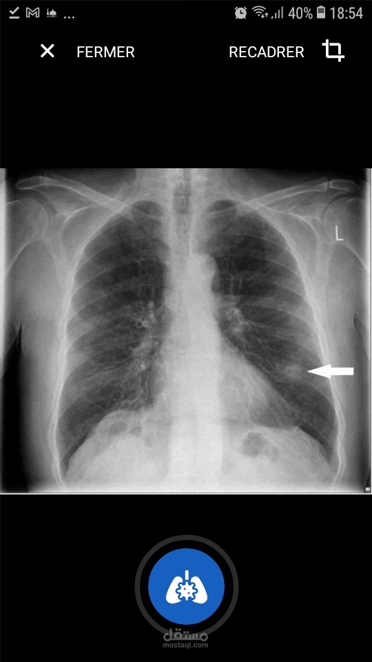
Neuron Chest X Ray Classifier هو تطبيق محمول (android) يساعد أخصائي الأشعة على قراءة أشعة الصدر بشكل أسرع وأكثر دقة من أي وقت مضى.

تستخدم تقنية الذكاء الاصطناعي للتنبؤ بالأمراض من صورة الأشعة السينية على الصدر

بطاقة العمل

اسم المستقل
عدد الإعجابات
1
عدد المشاهدات
130
تاريخ الإضافة
تاريخ الإنجاز
المهارات